CDC - Gruppo Affidea - Google Play & Appstore App
Scarica la nuova app
CDC|Affidea
Chiudi banner

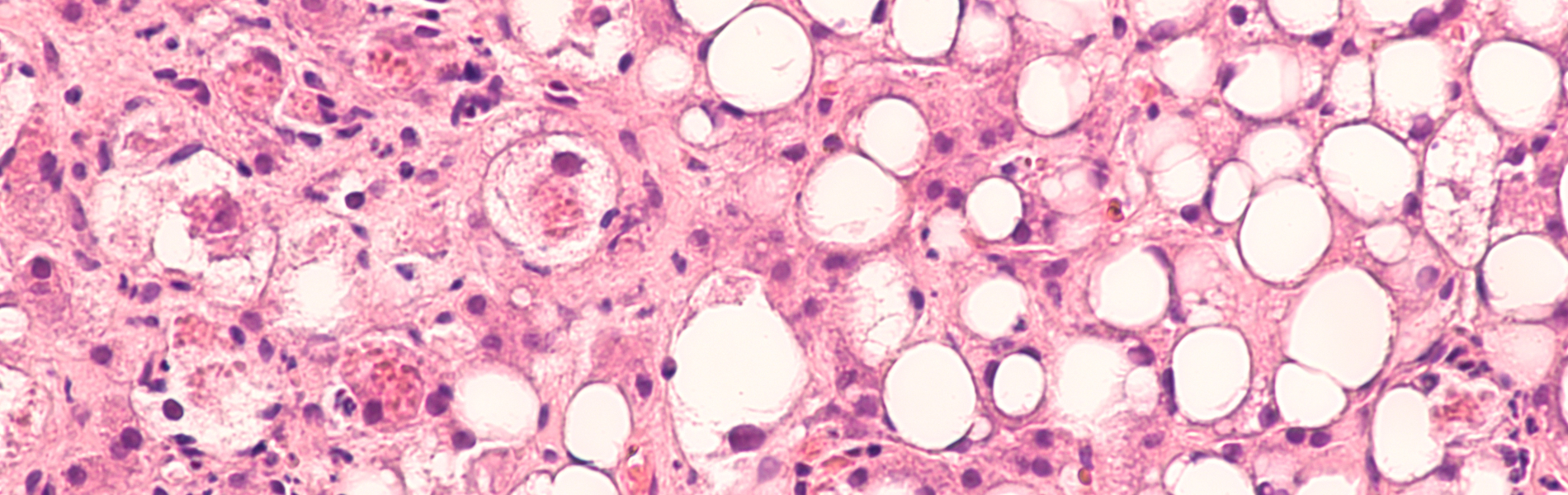
Il Fibrotest è un test fondamentale per valutare lo stato fibrotico del fegato.

Fibrotest

Fibrotest: cos’è e a cosa serve?

Le informazioni fornite mediante Fibrotest sono utili nei casi di patologie epatiche di origine virale, steatosi epatica e steatosi epatica non alcolica, ed il valore dell’indice ottenuto consente di stabilire se eseguire o meno la biopsia epatica.

Il Fibrotest è costituito da una serie di parametri, a2 macroglobulina, bilirubina totale, YGT, aptoglobina, apolipoproteina A1, transaminasi AST e ALT, che vengono messi in relazione all’età e al sesso del Paziente.

La a2 macroglobulina è una proteina infiammatoria prodotta dal fegato, la cui sintesi incrementa con l’aumentare della fibrosi epatica.

La bilirubina totale e la YGT aumentano con il progredire della fibrosi.

L’aptoglobina è una proteina sintetizzata dal fegato la cui sintesi si riduce in corso di fibrosi.

Le transaminasi AST e ALT sono biomarcatori del danno epatico.

Fibrotest: COME SI PRENOTA?

Il Fibrotest è un esame non invasivo che si esegue su un prelievo di sangue effettuabile in tutti i Punti Prelievo di Affidea|CDC.

Fibrotest PDF Il Fibrotest può essere eseguito con diverse modalità di accesso: Privatamente o tramite Convenzioni con Fondi Sanitari, Casse Mutua, Società di Servizi Sanitari, Compagnie Assicurative, Associazioni di Categoria, Istituti Bancari.

Lavora con Affidea

Entra a far parte del gruppo Affidea, scopri le posizioni aperte.

Scarica l’App CDC|Affidea

Con l’App CDC|Affidea puoi Prenotare, Consultare e Condividere Referti e Fatture tutto in un unico posto direttamente dal tuo Smartphone in modo facile e intuitivo.

SCARICA L’APP SU
GOOGLE PLAY STORE O APPLE APPSTORE

Scarica App CDC|Affidea Appstore App
Scarica App CDC|Affidea Android App
App Affidea|CDC
App Affidea|CDC

Scarica l’App CDC|Affidea

Con l’App CDC|Affidea puoi Prenotare, Consultare e Condividere Referti e Fatture tutto in un unico posto direttamente dal tuo Smartphone in modo facile e intuitivo.

SCARICA L’APP SU
GOOGLE PLAY STORE O APPLE APPSTORE

App Affidea|CDC

Glossario:

Esami del Sangue e Campioni Biologici

Cerca nel nostro glossario l’esame di laboratorio di tuo interesse e scarica le istruzioni per la preparazione.

Glossario Affidea|CDC

Glossario:

Esami del Sangue e Campioni Biologici

Cerca nel nostro glossario l’esame di laboratorio di tuo interesse e scarica le istruzioni per la preparazione.

Iscriviti alla Newsletter per ricevere aggiornamenti su iniziative Affidea|CDC